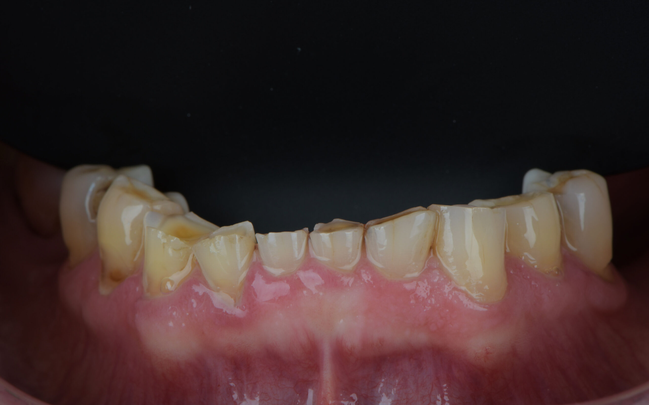
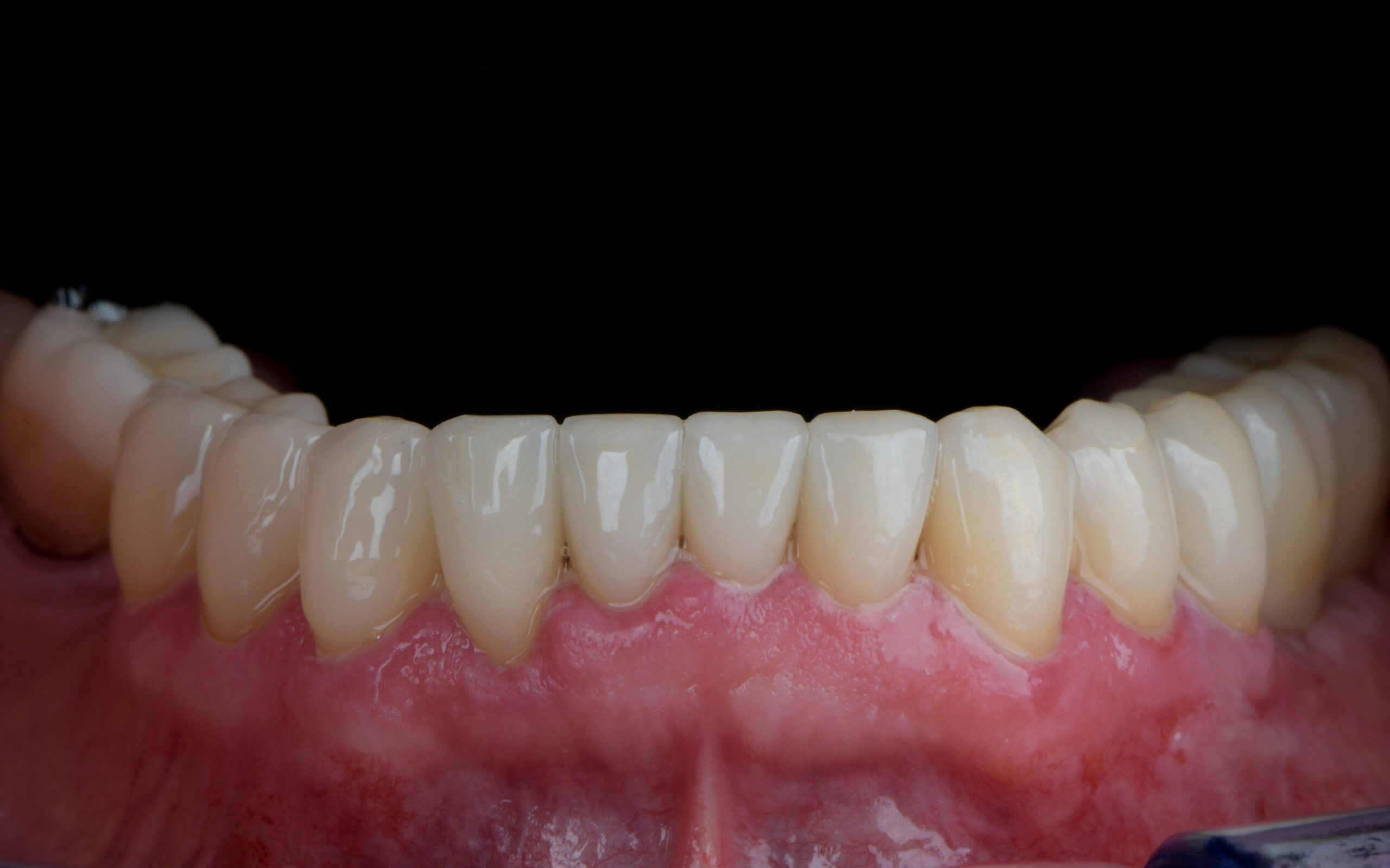
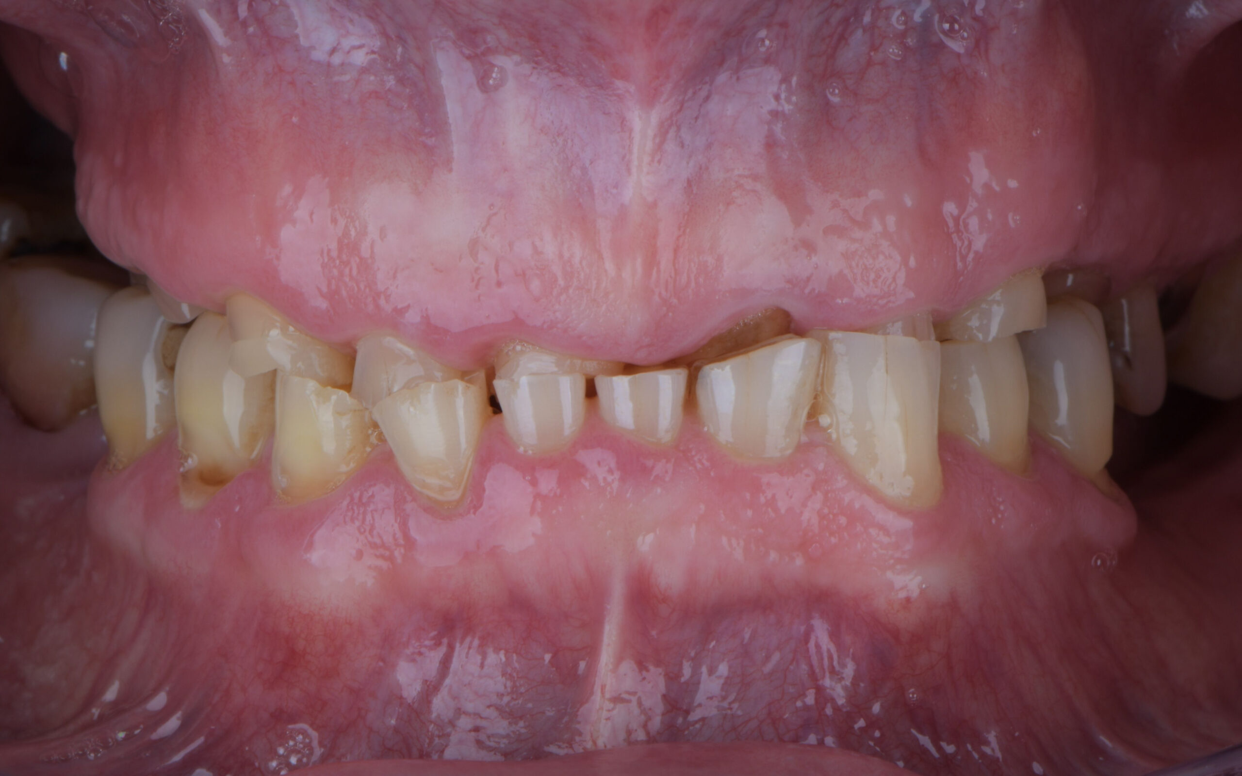
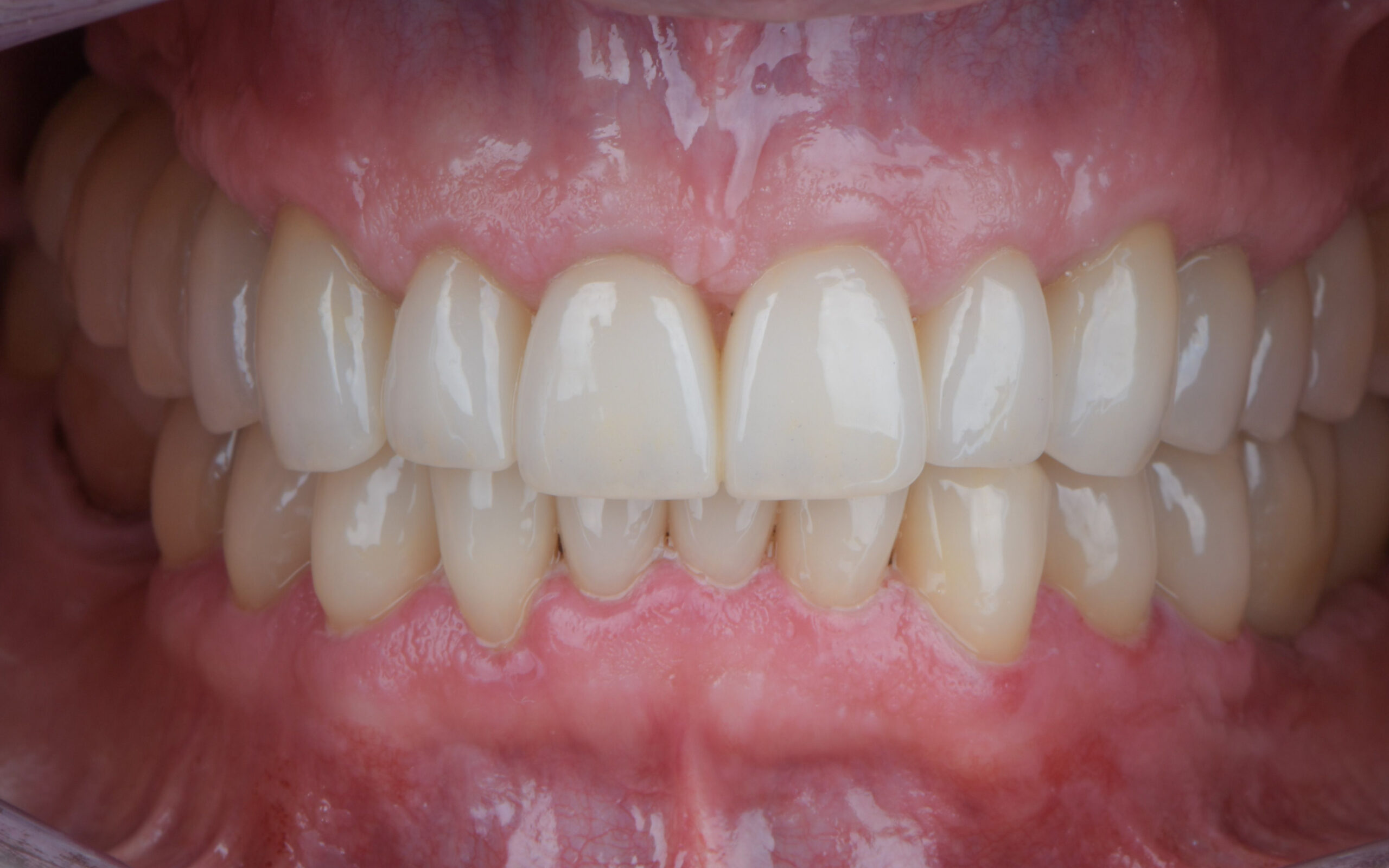
Procedūros: Dantų protezavimas, dantų protezaiDantenų plastika

Darbą atliko

Marius Gelažanskas

Ieva Oniūnaitė

Domina paslaugos? Susisiekite