JŪSŲ UNIKALI ŠYPSENA

    Ar pacientai nori netobulumo? Tikriausiai ne tiesiogiai ar sąmoningai. Tačiau kiekvienas norime būti išskirtinis, vienintelis toks. Dantys yra lyg gyvas menas. Kaip detalės paciento veide, kurios suteikia savitumo, charakterio ir elegancijos. Ir nors didžiausias noras dažniausiai yra turėti gražią šypseną, taip pat norime, kad ji būtų išskirtinė ir nepastebimai susilietų su mūsų bruožais – lyg būtume apdovanoti gamtos.

    Marius Gelažanskas

    Gydytojas – odontologas,
    klinikos įkūrėjas

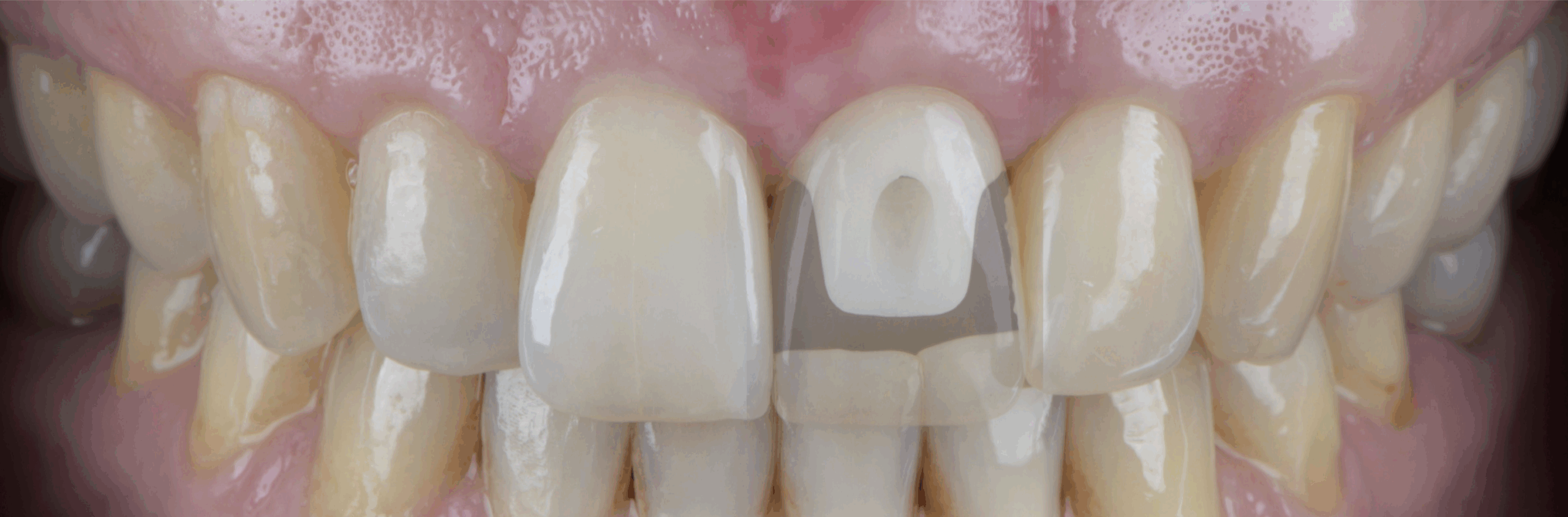
    MINIMALIAI INVAZYVŪS ŠYPSENOS PATOBULINIMAI

    Funkciškai teisingame sąkandyje dažnai reikia tik mažų prisilietimų. Dantų spalvos korekcija, dantenų linijos modeliavimas ar kompozito restauracijos- tik keli iš būdų siekiant sukurti gražesnę, estetiškai patrauklesnę, natūraliai atrodančią šypseną.

    KOMPLEKSINIS POŽIŪRIS

    Estetinės odontologijos galimybių spektras prasideda nuo mažų pokyčių, kurių galima pasiekti dantų balinimu ar kompozitu, ir siekia iki didžiulių pokyčių pacientams, kuriuos reikia reabilituoti dėl netaisyklingo, nudilusio sąkandžio, juntamo skausmo, ar agresyvių praeities gydymo metodų.
    Gydant tokius pacientus, reikia visos komandos kruopščiai suplanuoto, preciziškai įgyvendinto darbo. Mūsų komandos stiprybė – tarpdisciplininis gydymas. Pacientui mes siūlome dėmesį detalėms, būsimo rezultato viziją ir lydime jį kiekviename žingsnyje.

    REABILITACIJA DANTŲ IMPLANTAIS

    Implantacijos procedūra netekus vieno ar daugiau dantų jau seniai tapusi odontologijos paslaugų kasdienybe.
    Mes rūpinamės visais etapais nuo procedūros planavimo, minkštųjų ir kietųjų audinių tūrio atstatymo
    iki funkcijos bei estetikos atkūrimo. 

    Mūsų siekiamybė- estetinė ir biologinė implantų ir ant jų fiksuotų restauracijų integracija- kad implantų
    restauracijos atrodytų ir jaustųsi kaip natūralūs dantys.

    TIKRAS ŠYPSENOS GROŽIS. ILGAAMŽĖ ESTETIKA

    Kuriant šypsenas mūsų tikslas yra ne tik atkartoti gamtos formas ir taisykles, bet taip pat suteikti individualumo, nepastebimai integruoti pokyčius į paciento veidą, pritaikant prie jo bruožų.

    Registruotis konsultacijai

    Mūsų komanda

    • Marius Gelažanskas

    • Agnė Ežerinskė

    • Ingrida Eivaitė

    • Monika Ambrasienė

    Naujienos

    • 2026-04-01

      test

    • Kraujuoja dantenis
      2024-05-16

      Kraujuoja dantenos: ką daryti? Priežastys ir gydymo būdai

      Dantenų kraujavimas – dažnas simptomas, su kuriuo susiduria daugelis žmonių. Nors tai gali pasirodyti kaip laikinas nepatogumas, kartais kraujavimas iš dantenų gali perspėti apie rimtesnes sveikatos problemas. Tad suprasti, kodėl kraujuoja

    • 2023-11-20

      Pirmą kartą OZO Klinikoje!

      Pirmą kartą OZO Klinikoje! BLACK Friday COMBO pasiūlymas – TIK 259 EUR už profesionalią burnos higieną ir 2-jų žandikaulių dantų balinimą BEYOND sistema (vienkartinės priemonės įskaičiuotos). Reguliari pasiūlymo kaina – 430 EUR.